扫一扫
了解最新产品,获取产品参数协议
服务热线
0755-83995265
18922812789
新闻中心
热销推荐
SONY FCB-ER9500已全面上市,主要性能特点:<br> 传感器:1/...
SONY FCB-EV9520L高清机芯模组主要特点:<br> 传感器:1/2...
SONY FCB-EW9500H主要功能特点:<br> 传感器:1/1.8英寸型...
传感器:1/1.8英寸型STARVIS CMOS<br> 视频输出:全高清(10...
时间:2025-09-23 09:42:46 来源: 深圳市轩展科技有限公司 浏览数: 24
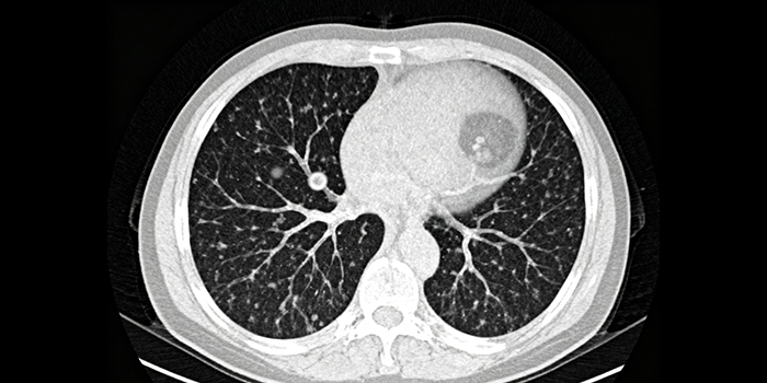
在精准医疗日益发展的今天,医疗检测技术正面临着前所未有的高精度、高效率挑战。传统影像设备有时难以捕捉极其细微的病变组织,这给早期诊断和精准治疗带来了困难。
索尼ILX-LR1全画幅可扩展系统遥控相机,这款搭载约6100万有效像素全画幅背照式影像传感器的相机,以其卓越的成像能力和广泛的应用场景,成为医疗检测中不可或缺的"临床之眼"。

01 技术突破,超高清成像的医疗价值
索尼ILX-LR1的核心优势在于其惊人的成像精度。该相机搭载了约6100万有效像素的全画幅背照式影像传感器,能够捕捉到更多细节和精确的图像。
索尼ILX-LR1的这一特点在医疗检测中尤为重要,因为它可以帮助医生更清晰地看到患者体内的病变情况,从而做出更准确的诊断和治疗计划。
索尼ILX-LR1高分辨率传感器提供了前所未有的图像清晰度,即使是微小的病变或结构变化也能被清晰捕捉。这对于提高诊断的准确性和手术的成功率非常重要。
索尼ILX-LR1还搭载了新的BIONZ XR影像处理器,处理性能提升了约8倍,减少了处理延迟,同时增强了视频和静态影像的处理能力。这为医疗检测领域实现了更高的工作效率。
02 应用场景,多领域医疗检测解决方案
索尼ILX-LR1在医疗检测领域展现出广泛的应用前景,其卓越性能在各种医疗场景下都能发挥重要作用。
在手术辅助领域,索尼ILX-LR1展现出了其非凡的实力。在手术过程中,医生可以通过索尼ILX-LR1拍摄的高清影像,清晰地看到手术部位的细节,从而更准确地判断和操作。

这不仅提高了手术的成功率,还大大降低了手术风险,为患者带来了更好的治疗效果。
在病理学检测中,索尼ILX-LR1的6100万像素图像提供了更多的细节信息,这使得基于图像的算法和人工智能(AI)分析更加有效。例如,高清晰度的图像可以帮助AI算法更准确地识别癌细胞或其他异常细胞。
在内窥镜检查中,由于像素数量够多,索尼ILX-LR1捕捉的图像可以在不损失清晰度的情况下进行放大和裁剪。医生可以放大图像以更仔细地检查肠道或呼吸道的微小变化。
此外,索尼ILX-LR1还支持远程操控和实时取景监控,使得医生能够在不同地点和时间进行高效的医疗协作。这种远程协作的能力不仅提高了医疗资源的利用效率,还为患者提供了更加便捷和高效的医疗服务。
03 设计优势,专为医疗集成打造
索尼ILX-LR1的轻量化设计和强大的可扩展性也是其备受医疗领域青睐的原因之一。相机机身重量仅约243克,尺寸小巧,非常适合安装在医疗设备上进行使用。
这种轻量化设计使得相机可以轻松集成到各种医疗设备中,而且不会增加设备的负担。
索尼ILX-LR1支持多种E卡口镜头,医生可以根据实际需求选择合适的镜头,以满足不同的医疗检测需求。这种灵活的可扩展性使得ILX-LR1能够适用于各种复杂的医疗场景。
相机的兼容性设计同样值得称道。索尼ILX-LR1相机背部设计有USB Type-C接口和Micro HDMI接口,为医疗检测领域提供了更多扩展和设计的可能性,可以满足用户多样化的需求。
相机机身六个面均具有M3螺丝孔,用户可以在不同的位置将相机安装到医疗检测设备。这种设计不仅提升了ILX-LR1的兼容性,还为用户提供了更多样化的安装和使用方式。
04 实际价值,提升医疗检测的质量与效率
索尼ILX-LR1在医疗检测领域的应用带来了显著的价值提升。其超高分辨率的成像能力为医生提供了更多细节信息的捕捉能力,使得病变部位的微小变化也能被清晰展现,极大地提高了诊断的准确性和精度。

同时,索尼ILX-LR1的远程操控功能支持医生在不同地点和时间进行高效的医疗协作,提高了医疗资源的利用效率,并为患者提供了更加便捷和高效的医疗服务。
此外,其轻量化设计和强大的可扩展性也使其更适合安装在医疗设备上进行使用,为医疗检测提供了更加灵活和多样化的解决方案。
总结
索尼ILX-LR1全画幅可扩展系统遥控相机凭借其卓越的成像能力、广泛的应用领域以及轻量化设计等特点,正在成为医疗检测领域的重要工具。
无论是辅助医生进行精准诊断,还是在手术过程中提供高清影像支持,索尼ILX-LR1都能发挥出其独特的优势,为医疗行业带来更加便捷和高效的解决方案。
随着技术的不断发展和完善,ILX-LR1有望在更多医疗场景中发挥作用,为医生和患者提供更好的医疗服务体验,推动医疗行业向着更加精准化、智能化的方向发展。